Ringkasan Mode Retakan Logam dan Analisis Permukaan Retakan
Jul 17, 2024
Tinggalkan pesan
Ⅰ Pendahuluan
Material logam sering kali menghadapi skenario kegagalan seperti fraktur, korosi, keausan, dan deformasi dalam berbagai aplikasi. Di antara semua itu, fraktur dianggap sebagai salah satu jenis kegagalan yang paling berbahaya dan selalu mendapat perhatian luas. Ketika logam terbelah menjadi dua bagian atau lebih di bawah tekanan (kadang-kadang juga dipengaruhi oleh panas atau media korosif), hal itu disebut fraktur lengkap. Ketika terdapat retakan di dalam logam, hal itu disebut fraktur tidak lengkap.
Ⅱ Jenis-jenis Retakan Logam
1. Klasifikasi Berdasarkan Derajat Deformasi Plastik Sebelum Fraktur
Sandblasting menggunakan udara bertekanan sebagai tenaga untuk menyemprotkan material abrasif (seperti bijih tembaga, pasir kuarsa, korundum, pasir besi, pasir Hainan, dll.) dengan kecepatan tinggi ke permukaan benda kerja. Akibat benturan dan aksi pemotongan dari material abrasif, permukaan benda kerja berubah, sehingga mencapai tingkat kebersihan tertentu dan kekasaran yang berbeda.
Fraktur Duktil
Dikenal juga sebagai fraktur ulet atau fraktur plastis.
Karakteristik Permukaan Retakan:Secara makroskopis, permukaan fraktur dari fraktur daktail menunjukkan deformasi plastis yang signifikan, perubahan ukuran fraktur, keberadaan daerah bibir fibrosa dan geser, serta warna yang kusam. Secara mikroskopis, permukaan fraktur memperlihatkan pola lesung pipit, struktur fibrosa, pola punggungan yang memancar dan tulang herring.
Tekad:Secara umum didefinisikan bahwa apabila pengurangan luas spesimen tarik halus lebih besar dari 5%, maka patahan tersebut dianggap ulet.

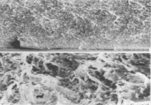
▲ Permukaan Makroskopik Fraktur Duktil

▲ Permukaan Mikroskopis Fraktur Duktil
Fraktur Rapuh
Karakteristik Fraktur:Karakteristik fraktur getas pada tingkat makroskopis dan mikroskopis adalah tidak adanya deformasi plastis yang signifikan dan permukaan yang relatif halus dan mengilap. Fitur-fitur ini muncul karena material tidak mengalami deformasi plastis yang cukup selama fraktur, yang menyebabkan retakan menyebar dengan cepat dan membentuk permukaan fraktur yang rapi dan halus. Pada tingkat mikroskopis, langkah-langkah pembelahan, pola sungai, dan pola lidah lebih jauh mengungkap mekanisme fraktur dan jalur perambatan retakan pada fraktur getas.
Bahaya:Umumnya, tidak ada tanda-tanda sebelumnya, dan terjadi secara tiba-tiba, sering kali menimbulkan konsekuensi yang serius.
Tekad:Pengurangan luas penampang kurang dari 5% pada spesimen tarik halus dapat mengindikasikan deformasi plastik seragam minimal, yang dianggap sebagai fraktur getas.

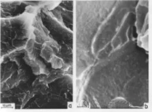
▲ Permukaan Makroskopik Fraktur Rapuh

▲ Permukaan Makroskopik Fraktur Rapuh
2. Klasifikasi Berdasarkan Jalur Perambatan Retak
Fraktur Transgranular
Karakteristik:Retakan menjalar ke bagian dalam butiran.
Alam:Ia bisa bersifat lunak atau getas.

▲ Skema Fraktur Transgranular

▲ Mikrograf Fraktur Transgranular
Fraktur Intergranular
Karakteristik:Retakan menjalar sepanjang batas butiran.
Alam:Sebagian besar patahannya bersifat getas.

▲ Skema Fraktur Intergranular

▲ Mikrograf Fraktur Intergranular
3. Klasifikasi Berdasarkan Jenis Tegangan dan Posisi Relatif Orientasi Permukaan Retakan terhadap Tegangan
Fraktur Tarik
Orientasi permukaan rekahan tegak lurus terhadap tegangan normal maksimum.
Alam:Umumnya patahan getas, tetapi dapat juga menunjukkan deformasi plastik yang signifikan.
Fraktur Geser
Orientasi permukaan rekahan sejajar dengan arah tegangan geser maksimum, membentuk sudut 45 derajat dengan tegangan normal maksimum.
Alam:Fraktur ulet.

4. Klasifikasi Berdasarkan Sifat Beban dan Penyebab Stres
Fraktur Kelelahan
Definisi:Retakan terjadi pada material di bawah beban bergantian.
Mekanisme:Hasil dari efek gabungan stres dan waktu yang bergantian.

▲ Fraktur Kelelahan yang Disebabkan oleh Gabungan Ketegangan dan Kompresi
Fraktur Lingkungan
Definisi:Fraktur material pada tekanan rendah yang disebabkan oleh faktor lingkungan.
Klasifikasi:Terutama mencakup retak korosi tegangan dan kerapuhan hidrogen.

▲ Fraktur Korosi
II. Metode Analisis Permukaan Retakan Logam
Metode tiga langkah untuk menganalisis permukaan fraktur logam merupakan proses sistematis yang bertujuan untuk memahami penyebab, mekanisme, dan sifat fraktur material dengan mengamati dan mengevaluasi permukaan fraktur.
Langkah 1: Pengamatan Makroskopik
Tujuan:Untuk melakukan pengamatan awal dengan mata telanjang, kaca pembesar, atau mikroskop optik berdaya rendah untuk mengumpulkan informasi makroskopis tentang permukaan rekahan.
Isi
Gambaran Umum Pengamatan:Awalnya amati penampilan umum dan hubungan antar berbagai wilayah permukaan rekahan menggunakan mata telanjang dan lensa pembesaran rendah.
Analisis Sifat Fraktur:Buatlah penentuan awal tentang sifat patahan, seperti patahan ulet, patahan getas, dan lain-lain.
Penilaian Asal Crack:Menganalisis lokasi asal retak dan arah perambatan retak.
Evaluasi Kualitas Metalurgi dan Perlakuan Panas:Gunakan pengamatan makroskopis untuk menilai awal kualitas metalurgi dan kualitas perlakuan panas.
Rekaman:Memotret dan mencatat hasil pengamatan makroskopis untuk analisis selanjutnya.
Langkah 2: Pengamatan Mikroskopis
Tujuan:Untuk melakukan pengamatan lebih mendalam menggunakan mikroskop berdaya tinggi (seperti mikroskop metalografi dan mikroskop elektron pemindaian) untuk memperoleh informasi mikroskopis tentang permukaan rekahan.
Isi
Pengamatan Langsung Permukaan Retakan:Amati karakteristik morfologi mikroskopis permukaan rekahan menggunakan mikroskop metalografi atau mikroskop elektron pemindaian.
Pengamatan Profil Fraktur:Memahami lebih lanjut mengenai struktur mikro, jalur perambatan retak, dan mekanisme fraktur.
Verifikasi Informasi Makroskopik:Gunakan pengamatan mikroskopis untuk memverifikasi lebih lanjut informasi yang dikumpulkan selama pengamatan makroskopis.
Penentuan Sifat Fraktur:Lebih akurat menentukan sifat, kecepatan rambat, dan lokasi asal patahan berdasarkan hasil pengamatan mikroskopis.
Identifikasi Penyebab Fraktur:Melalui analisis yang komprehensif, identifikasi penyebab dan mekanisme fraktur.
Langkah 3: Analisis Kuantitatif
Tujuan:Untuk melakukan penelitian lebih mendalam pada permukaan rekahan melalui pengujian dan analisis kuantitatif untuk memperoleh data kinerja yang lebih akurat.
Isi
Analisis Komposisi Kimia:Menganalisis komposisi kimia material rekahan, termasuk kandungan unsur utama, pengotor, dan inklusi nonlogam.
Pengujian Sifat Mekanik:Lakukan uji tarik, uji benturan, uji kekerasan, dan uji sifat mekanis lainnya pada material fraktur untuk mengevaluasi kekuatan, ketangguhan, dan kekerasannya.
Analisis Morfologi Fraktur:Gunakan instrumen seperti mikroskop elektron pemindaian (SEM) untuk analisis kuantitatif morfologi rekahan, seperti panjang retakan, lebar, kedalaman, dll.
Evaluasi Mekanisme Fraktur:Mengevaluasi mekanisme fraktur, seperti fraktur ulet, fraktur getas, dll., berdasarkan hasil uji kuantitatif.
Evaluasi Komprehensif:Gabungkan hasil pengamatan makroskopis, pengamatan mikroskopis, dan analisis kuantitatif untuk menilai kinerja material secara komprehensif.
Melalui metode tiga langkah analisis permukaan fraktur logam, seseorang dapat memperoleh pemahaman yang komprehensif dan mendalam tentang penyebab, mekanisme, dan sifat fraktur material logam, yang menyediakan referensi penting untuk desain, pembuatan, dan penggunaan material.
